The Art of Every Smile
About
Our ethos
TomoArte Dental Lab represents the intersection of artistry, precision, and modern dental technology. We combine refined craftsmanship with advanced techniques to support clinicians in delivering exceptional, predictable patient outcomes.
Our expertise spans ceramic artistry, CAD/CAM milling, and implant restorative workflows, allowing us to deliver restorations that balance aesthetics, accuracy, and functional integrity. From digitally designed frameworks to hand-finished ceramics, every case is executed with meticulous attention to detail, material performance, and clinical fit.
We prioritize clear communication, consistent turnaround times, and collaborative case planning, ensuring each restoration integrates seamlessly into the clinician’s workflow. At TomoArte, precision is not a step in the process—it is the foundation of everything we create.
Featured Products
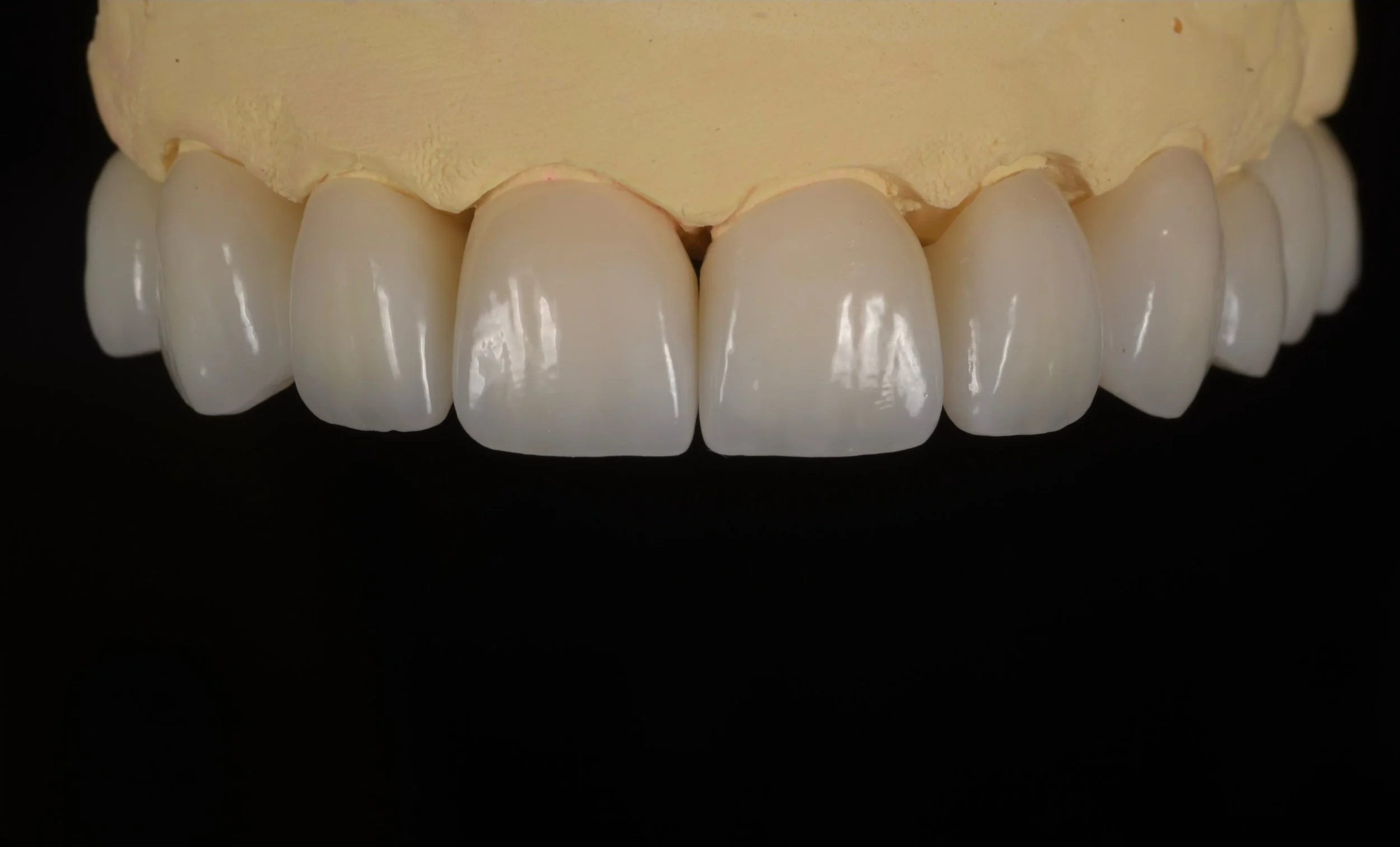
At TomoArte, we focus on precision-crafted crown, bridge, and implant solutions that balance refined aesthetics with dependable function. Our crown, bridge, and implant solutions are thoughtfully crafted with careful material selection and disciplined fabrication—designed to integrate seamlessly into your treatment philosophy while delivering predictable, long-term results. Our crown and bridge solutions are built for consistency, strength, and natural esthetics across both anterior and posterior applications. From full-contour zirconia to layered ceramics and cast restorations, each case is fabricated with close attention to occlusion, marginal integrity, and shade harmony—supporting efficiency without compromising artistry. Our implant solutions are developed through precise planning and hands-on craftsmanship. We offer custom abutments and crown solutions engineered for reliable fit, restorative flexibility, and clean emergence profiles. Whether screw-retained or cement-retained, our implant workflows prioritize accuracy, longevity, and restorative confidence.
Crowns are crafted to balance accuracy, durability, and lifelike esthetics. Utilizing advanced materials and controlled fabrication processes, each crown is designed to integrate seamlessly with the surrounding dentition while maintaining reliable margins and occlusal precision.
A hand-crafted designed implant crown that prioritizes precision fit, restorative strength, and esthetic integration. Each crown is fabricated to support proper emergence, occlusion, and long-term stability—allowing clinicians to deliver predictable implant outcomes with confidence.
Zirconia bridges offer exceptional strength with refined esthetics, making them ideal for both anterior and posterior indications. Designed for durability without compromising translucency, each bridge is carefully milled and finished to achieve functional harmony and natural form.
Contact Us
Interested in working together? Fill out some info and we will be in touch shortly. We can’t wait to hear from you!
